Arthrosis of the knee joint (gonarthrosis)is a progressive chronic disease of the knee joints with damage, thinning and destruction of its cartilage part (the articular surfaces of the femur and tibia), as well as damage to the subchondral bone.Research (arthroscopy and MRI) has shown that, in addition to damage to the articular cartilage, the menisci and the synovial membrane are also involved in the process.Gonarthrosis is one of the most common orthopedic pathologies.There are synonyms - osteoarthritis (OA), deforming arthrosis.The disease is an important socio-economic problem, as it is widespread and significantly impairs the quality of life of patients due to constant pain and, in addition, becomes a cause of high disability.

Until the mid-1980s, there was no single definition of the disease.It was not until 1995 that the osteoarthritis committee of the American College of Rheumatology characterized the disease as the result of mechanical and biological factors leading to an imbalance between the processes of degradation and synthesis of the extracellular matrix of articular cartilage.As a result, fiber decay and degeneration occur, cracks, osteosclerosis and compaction of the cortical layer of the subchondral bone are formed, osteophytes grow and subchondral cysts are formed.
Why does arthrosis of the knee joint occur?
Risk factors for osteoarthritis include:
- chronic traumatization (violation of physical activity, excess weight);
- endocrine, inflammatory, metabolic and ischemic diseases;
- the presence of congenital or acquired disorders of the relationship, form or structural organization of the joint ends.
If you notice similar symptoms, consult your doctor.Do not self-medicate - it is dangerous for your health!
Symptoms of arthrosis of the knee joints
Knee osteoarthritis is characterized by:
- gradual onset;
- slight pain in the joint when moving, especially when going up and down stairs;
- "tightness", stiffness and "starting pain", which occurs with the first steps and decreases or disappears if the patient "drifts", after significant physical activity resumes.
- the appearance of the knee remains the same.Sometimes there is slight swelling or fluid accumulation in the joint.At the same time, the knee increases in volume, swells, flattens, limitations in movement and heaviness are felt.
Painful sensations
As the disease progresses, the pain becomes more intense, it appears even with a slight load and prolonged walking.Localized on the front-inner surface of the joint.Prolonged rest usually helps the pain go away.
Limited mobility of the knee joint and characteristic crisis
With arthrosis, the range of motion of the joints may decrease, crunching and sharp pain may occur when the leg is maximally bent.
Deformation of the knee
The configuration of the joint changes as if it were expanding.
synovitis
Synovitis of the knee joint is an inflammation of the lining of the inner cavity of the joint.The disease manifests itself in the form of swelling of the knee, redness of the skin and limited mobility of the joint.With the development of arthrosis, synovitis appears more often, lasts longer and includes a large amount of fluid.
The last stage of gonarthrosis is distinguished by the fact that the pain becomes almost constant, causing anxiety not only when walking, but also at rest, even at night, when patients have to look for a comfortable position to sleep.Movement is more limited: it is difficult to fully bend and straighten the leg.The joint deforms and increases in volume.A valgus (X-shaped) or varus (O-shaped) foot deformity is often observed.The gait becomes unsteady and jerky.In severe cases, a cane or crutches are needed.

According to the researchers, 76% of elderly people who complain of knee pain have X-rays showing gonarthrosis.According to statistics, women are more often affected by the disease, which is associated with hormonal changes after 45 years.
Pathogenesis of arthrosis of knee joints
There is primary and secondary arthrosis.
Primary arthrosis of the knee joint
- Articular cartilage is constantly destroyed and renewed;usually these processes are balanced.With age, the renewal of cartilage slows down and destruction begins to prevail, which is called the process of degradation or degeneration.The weight of a person plays an important role, because with a mass of 70 kg in 20 steps we carry 700 kg on each leg (70 kg x 10 steps), and with a mass of 120 kg we already carry 1200 kg on each leg.Because of this, weak cartilage wears out much faster;
- you must remember: the joint receives nutrients and recovers while moving;A sedentary lifestyle reduces metabolic processes and the necessary elements do not reach the cartilage;
- There are conflicting data on the role of heredity in the onset of the disease.If the parents had arthrosis, then the probability of its appearance in children increases;
- occurs due to autoimmune synovial inflammation.
Secondary arthrosis of the knee joint
- injuries (fractures, tears of the meniscus and anterior cruciate ligament).Unfortunately, in every person, regardless of age, these injuries lead to excessive stress on the cartilage.A fracture of any part of the bones covered with cartilage is accompanied by the formation of an unevenness - a "step".In this area, during movement, abrasion occurs and arthrosis is formed;
- rheumatoid arthritis, Koenig's disease (osteochondritis dissecans), consequences of purulent inflammation in the joint (gonitis), etc.;
- regional vascular disorders;
- chronic exudative-proliferative and cicatricial adhesive processes in the joint.

In arthrosis (osteoarthrosis), in addition to the progressive destruction of cartilage, the loss of its elasticity and shock-absorbing properties, the bones are gradually involved in the process.When loaded, sharp edges (exostoses) appear, which are mistakenly considered "salt deposits" - in classic arthrosis, salt deposits do not occur.As arthrosis progresses, it continues to "eat" the cartilage.Then the bone is deformed, cysts form there, all the structures of the joint are affected and the leg bends.
In addition to the inner or outer part of the knee, osteoarthritis can also affect the surfaces between the patella and the intercondylar groove of the femur.This option is calledpatellofemoral arthrosis.
The cause is usually subluxation, fracture, or lateralization of the patella.

Classification and stages of development of arthrosis of the knee joints
Regardless of the cause, there are three stages of gonarthrosis, or deforming arthrosis of the knee joint.
Gonarthrosis I stage
The first stage of the disease is characterized by primary changes in the hyaline cartilage.Bone structures are not affected.Blood supply in intraosseous vessels and capillaries is impaired.The cartilage surface dries out and loses its smoothness.If the disease is accompanied by constant tense synovitis, then Baker's cyst (herniated protrusion of the joint capsule of the popliteal region) develops.After a significant load on the joint, a dull pain appears.There may be slight swelling, which disappears after rest.There is no deformation.
Gonarthrosis stage II
In the second stage, the cartilage layer thins sharply, and in some places it is completely absent.Osteophytes appear on the edges of the joint surfaces.The qualitative and quantitative characteristics of the synovial fluid of the joint change - it becomes thicker, more viscous, which leads to a deterioration of its nutritional and lubricating properties.The pain is more prolonged and intense, often there is a crunch when moving.There is mild or moderate limitation of movement and slight deformity of the joint.Taking analgesics helps relieve pain.
Gonarthrosis stage III
Absence of cartilage in most affected areas, severe sclerosis (hardening) of the bone, many osteophytes, and sharp narrowing or absence of the joint space.The pain is almost constant, the gait is impaired.Mobility is sharply limited and deformation of the joint is noticeable.NSAIDs, physical therapy and other standard methods of treating knee osteoarthritis are ineffective.
Types of gonarthrosis
Depending on the number of affected joints, unilateral and bilateral gonarthrosis are distinguished.
Complications of arthrosis of knee joints
The most common complication of stage II and III is tendovaginitis of the adductor muscle group of the thigh.This is manifested by pain on the inner surface of the joint, which increases with movement.The reason is muscle imbalance and deformation.With a long-term reduction in range of motion, a contracture develops.In addition, synovitis often occurs.
Consequences of advanced gonarthrosis
Gonarthrosis affects the entire musculoskeletal system, disrupting the biomechanics of the spine and other large joints of the lower limbs.This can lead to a herniated disc and arthritis of other joints.The second knee joint is overloaded (if the disease is unilateral), as the patient spares the diseased leg, transferring the weight to the other, healthy one.
Diagnosis of arthrosis of the knee joints
Instrumental diagnosis of arthrosis of the knee joint
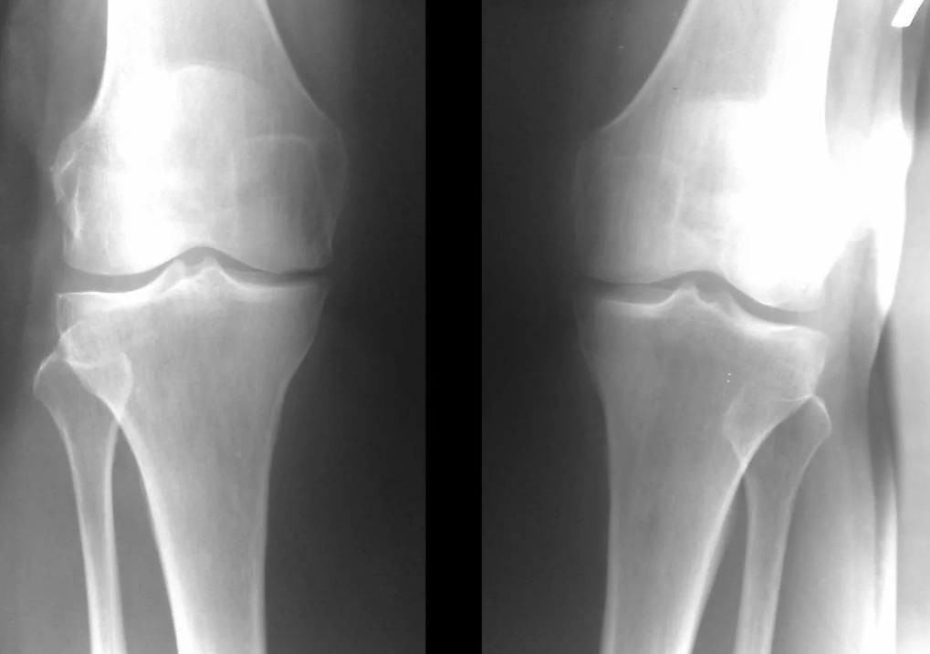
In the majority of cases, an examination and an X-ray of the knee joint in two projections (direct and lateral) is sufficient.Clinical data and imaging help to determine the stage of the disease.

In the early stages of the disease, with minor changes in bone tissue, X-ray examination is not so valuable.At this stage, gonarthrosis can be diagnosed by arthroscopy.The accuracy of the method is very high;only its invasive nature and cost can stop it.
Ultrasound does not allow clear visualization of changes in the articular cartilage and intra-articular structures.With the help of MRI, you can detect changes in the bones, cartilage and soft tissue structures of the joint, as well as the subchondral bone with 85% accuracy.Scintigraphy can be used to assess the metabolic activity of periarticular bone tissue.
Laboratory diagnosis of arthrosis of the knee joint
The increased content of phosphorus and calcium in the dehydrated synovial fluid is evidence of the destruction of the osteochondral tissue of the joint and the accumulation of decay products.Blood is also examined - general analysis and erythrocyte sedimentation rate (ESR);determination of the level of fibrinogen, urea and other biochemical parameters of blood and urine.
Is it possible to completely cure deforming arthrosis of the knee joint?
Gonarthrosis can be completely cured only in the earliest stage of the disease.
Which doctor treats deforming arthrosis of the knee joint?
A traumatologist-orthopedic or rheumatologist diagnoses and prescribes treatment.
Treatment of arthrosis of the knee joints
Conservative — anti-inflammatory drugs, pain relievers, muscle relaxants, vascular, chondroprotectors, compresses, kinesiotaping, physiotherapy, physiotherapy, orthoses.
Minimally invasive- para-articular blockades (novocaine + medicine relieves pain and inflammation), injection of artificial lubricant into the joint itself, plasmolifting.
Surgically — arthroscopy (a low-traumatic method for the treatment of intra-articular pathologies and removal of damaged structures), endoprosthetics.
Drug treatment (medications for the treatment of arthrosis of the knee joint)
Conservative methods are most effective in the initial stage of the disease.They help reduce pain and temporarily slow the breakdown of cartilage.In stage II, more effective methods are needed.The introduction of preparations with hyaluronic acid into the joint cavity is used to reduce friction and trauma to the cartilage.There is no clear evidence for cartilage repair, but it is good for lubricating surfaces."PRP therapy" (plasmolifting) is the injection of platelet-rich plasma into the knee joint, which is obtained from the patient's own blood by centrifugation.It nourishes cartilage and promotes its recovery, as autoplasmic platelets contain numerous growth factors and cytokines that promote the regeneration of damaged tissue.
Surgical treatment and endoprosthetics
Endoprosthesis replacement is a common and effective surgical method for the treatment of severe gonarthrosis, which allows you to maintain limb mobility and the ability to lead a full life afterwards.It is a high-tech operation lasting about an hour and a half.In the postoperative period, long-term rehabilitation and development of the joint is necessary.After 25-30 years, when the artificial joint wears out, it must be replaced again.

Physiotherapy and kinesitherapy
The methods of physiotherapy and kinesitherapy for the treatment of arthrosis of the knee joint are ineffective.
Diet therapy
Diet is only necessary to maintain a normal weight;there are no restrictions on the consumption of certain foods in gonarthrosis.
Does the blockade help with gonarthrosis?
For arthrosis of the knee joint, a para-articular block is used - injection of the drug into the soft tissues around the joint.During the procedure, the area of inflammation and painful points near the joint is determined, the skin is treated with alcohol, and hydrocortisone with anesthetic is injected into this area.
Therapeutic exercises for arthrosis
Therapeutic exercises are useful both for patients suffering from gonarthrosis and for the prevention of this disease.Effective exercises:
- full flexion and extension of the leg lying on the back;
- Straight leg raise while lying on your back.
Forecast.Prevention
You must understand that if arthrosis begins to develop, it must be treated immediately.If you are at risk of this disease, you can delay the start, for this it is recommended:
- reducing stress on the knee joint;
- swimming - water relieves stress;
- massage the lower leg and thigh muscles yourself;
- avoid hypothermia and overfatigue;
- maintain a normal weight;
- give up smoking and alcohol;
- women wear comfortable low-heeled shoes;
- do physical therapy
Before starting therapeutic exercises, you should definitely consult your doctor.Exercises are performed at a slow pace.If pain or discomfort occurs during gymnastics, the exercises should be stopped.
It is necessary to use only effective drugs.Rubbing, compresses and other folk methods are ineffective;they do not act on the cause of the disease, but only help to distract attention from the pain.Avoid injuries and overexertion - jumping, carrying heavy objects, standing for a long time or sitting in an uncomfortable position.This accelerates the progression of the disease.
Also, timely diagnosis and treatment of rheumatoid arthritis, gout and systemic diseases is necessary.
What factors affect the long-term prognosis of osteoarthritis of the knee?
The prognosis depends on the stage at which the patient went to the doctor and on the correct therapy.The sooner you start the right treatment, the better your chances of avoiding surgery.






















